大阪市阿倍野区西田辺にある歯科 審美治療・矯正治療なら いえさき歯科へ

いえさき先生のコラム

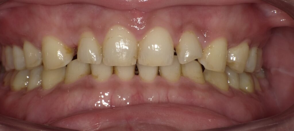
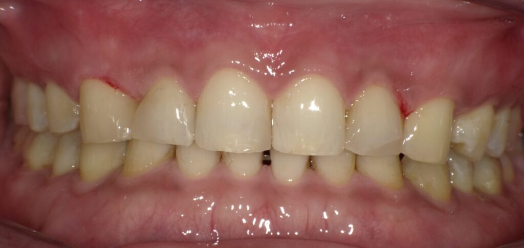
阿倍野区ですきっ歯を簡単に埋めるには

前歯にすきっ歯があると気になりますね。

簡単に一度の処置で治したいなら、ダイレクトボンドという方法があります。

歯と歯の間の隙間を埋めたり、歯の形を修正したりを1回の処置で完了出来るのでとても楽です。

歯と歯の間を前歯の虫歯治療に使用するコンポジットレジンを用いて行う方法です。

歯を削ることなく、簡単に審美性を回復出来ることが、特徴です。

簡単な治療法ではありますが、審美的表現がかなり難しく、術者(歯科医)の高い技術が要求されます。

いえさき歯科では、ダイレクトボンド法やダイレクトボンドをさらに進化させたデジタルインデックスシステムにとりくんでいます。

 

 

ダイレクトボンド法について詳しくは→こちら

デジタルインデックスシステムについては→こちら

この記事のお問い合わせ先:阿倍野区西田辺のいえさき歯科

HP:www.iesaki.net

電話:0666244500