いえさき先生のコラム
西田辺駅前で審美歯科に取り組んでいます
目次
美しく白い歯になるにはどうしたらよいのでしょうか。


テレビや雑誌で見かける芸能人の白い歯・・・「なんでいつも真っ白でキレイなの?」と不思議に思った方も多いでしょう。
さらには「歯並びもキレイで素敵」な芸能人の方も最近は、非常に多いですね。
これには秘密があります。
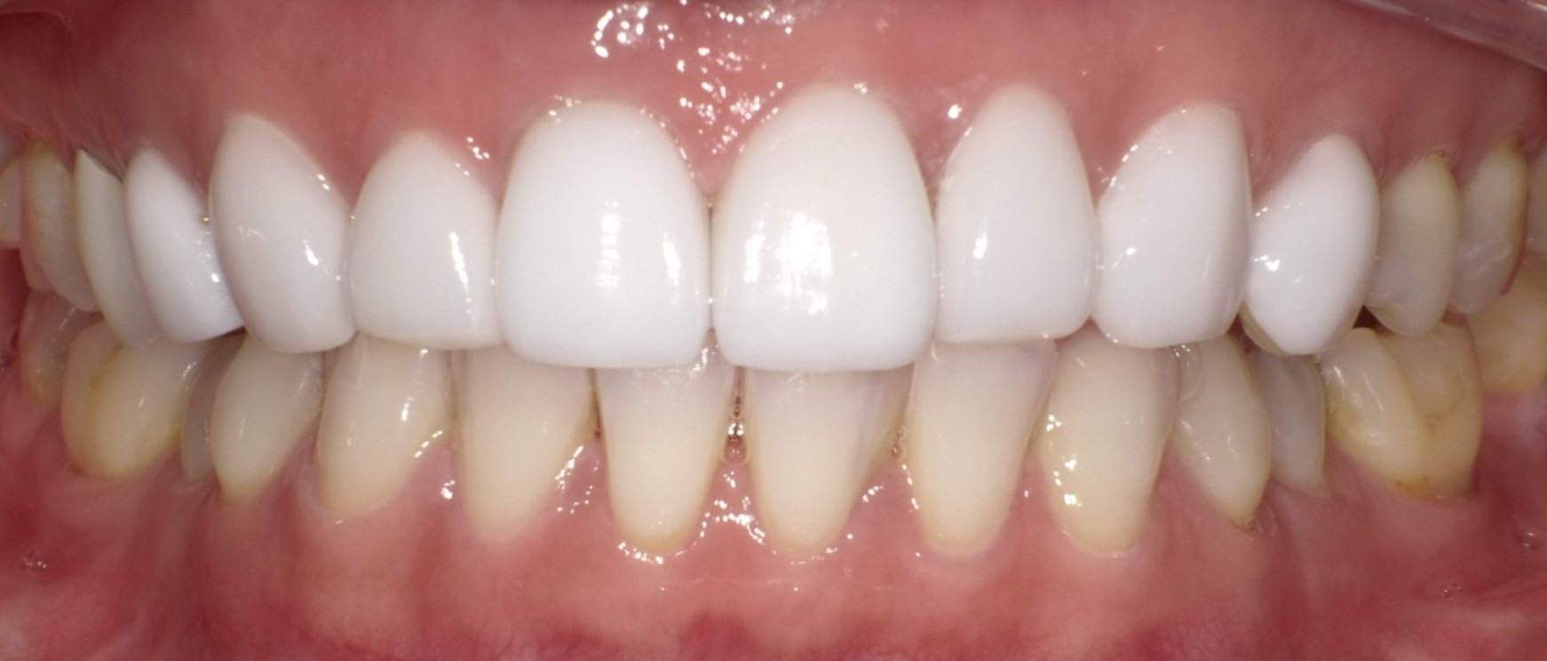
歯を削り、オールセラミッククラウンやラミネートベニアといったの人工の歯をかぶせているのです。
一般的に、歯を白くするには、歯科医院で受ける「ホワイトニング」があります。
しかし、一度歯が白くなっても、その効果は永久ではありません。毎日の食事やコーヒーや喫煙などで、着色し再び歯が黄ばんでてきます。
そのために芸能人は定期的に歯科医院に通っているのかというと・・・そういうわけではないのです。
多くの芸能人は、歯をずっと白くし続けるためにオールセラミッククラウンやラミネートべニアを用いた審美歯科(美容歯科)を受けているのです。
セラミックという素材は、何年経過しても汚れや変色に強いものです。一度歯にかぶせてしまえば、何年後でも歯は白いまま、綺麗なままです。
時間的に忙しい芸能人が好んで使用するのも当然ですね。
天然歯に近い透明感と、丈夫さを備えたセラミックを使用する、オールセラミック・クラウンやラミネートべニアなら、ホワイトニングでは白くできない色の歯や、少し曲がっているような歯並びの歯でも白くてきれいな歯並びの歯に変えることができます。
芸能人は見た目が命、矯正治療中の装置がついた口元はタブーです。
ほんのわずかな歯並びの悪さなら、オールセラミック・クラウンをかぶせてきれいな歯並びに変えてしまっている芸能人の方がほとんどです。
口元を変えることは、顔全体の印象に影響しますから、いつまでも白い歯は貴方のイメージをずっと爽やか状態にキープできます
芸能人のように歯を白くするには以下の方法が、あります。

どちらもメリットと、デメリットがあるので、あなたに合った方法を選びましょう。
いえさき歯科では患者様の希望と歯の着色度合い・歯並びなどをカウンセリングでお伺いし、その方に最適の方法をおすすめしています。
ホワイトニング
手軽に白くでき比較的安いです。(今ならいえさき歯科で20本 6000円税別で施術中)
汚れやステインに強く、いつでもきれいな白さを保てます。
白さの効果は数ヵ月と限定的。白さを保つには定期的に歯科医院でホワイトニングを受ける必要があります。
変色が強い歯はホワイト二ングの効果が出にくいです。
オールセラミック
白さは半永久的で変色歯でも白くできます。
比較的高い(ラミネートべニア通常1本10万円のところ4万円税別で施術中)
わずかな歯並びの悪さなら補正できます。
歯を削ってかぶせる治療が必要です。
根の治療が必要な場合は治療時間が余分にかかります。
さらにいえさき歯科では、矯正治療というオプション応用してさらに白く美しい口元を得ることも可能です。
いえさき歯科では、ただ治療を行うだけの歯科医院ではありません。患者様が憧れている美しいお口、求められている歯の白さ、抱えていらっしゃる悩みやコンプレックス・・・全てをお伺いし、
お悩みを一緒に解決するために十分なカウンセリングと丁寧な治療を行っております。
患者様の憧れの笑顔―――実現されるために、スタッフ全員で心からのサポートとケアをさせていただきます。
お問い合わせ先:
地下鉄西田辺駅より徒歩3分 いえさき歯科
☎ 06-6624-4500