いえさき先生のコラム
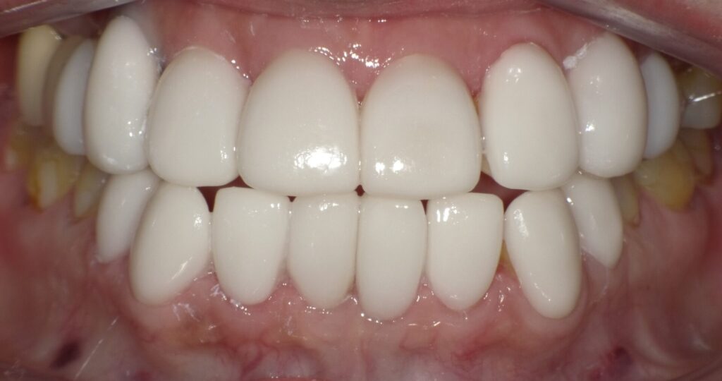
白い歯になりたい人にラミネートベニアは最適の方法です。

芸能人で真っ白で整った歯の人をよく見かけますが、
どのようにしてあのような白く綺麗な歯を手に入れているのでしょうか。
統計を見て申し上げているわけではないので、正確には語れませんが、
ラミネートベニアがよく使われているのではないでしょうか。

ラミネートベニアラミネートベニアはとても人気のある選択肢です。
この治療法は、歯の表面を薄く削り(あるいは削らずに)、つけ爪のような薄いセラミック(シェル)を貼り付けることで、
短期間(最短2日)で理想的な白さと形を実現できるため、自分の歯を傷つけたくないという希望が強い方にとって理想的な手段となります。
「芸能人のような白い歯」を目指す方に取っては代表的な手法となっています。

特徴
短期間で理想の白さに: ホワイトニングでは到達できない真っ白な歯も可能で、色が後戻りしない。
短期間で治療完了: 2〜3回の通院で、期間も約3週間程度と非常に速い。
前歯の形をきれいに修正: すきっ歯(正中離開)、軽度の出っ歯、前歯の凹凸、小さな歯を改善できる。
最小限の切削: 前歯の表面を薄く削るだけなので、クラウン(被せ物)よりも神経を守りやすい。
治療のメリット
短期間で完了: 通常、最短2回程度の通院で完了するため、忙しい方にとって効率的な治療法です。
理想的な白さ: ホワイトニングでは白くなりづらい歯でも、多くのシェード見本から選んで希望の白さに仕上げることができます。
歯への負担が少ない: 歯を全体的に削る「オールセラミッククラウン」に比べて表面を削らないもしくはわずかに削るだけ(0.3~0.5mm程度)で済むため、二度と再生しないエナメル質を多く残せます。
耐久性: 適切なメンテナンスを行えば、10年程度使い続けることが可能です。
リスク
強い衝撃で割れたり、外れたりするリスクがあります。また、噛み合わせに問題がある場合は適用できないケースもあります。
費用: 自費診療のため1本あたり10万円前後程度が相場となっています。
いえさき歯科では、ラミネートベニア治療に積極的に取り組んでおり、13年にわたって多くの症例を手がけてきました。
現在も4本以上同時施術で38,000円(税別)~で提供しております。価格ついては→こちら
また、無料カウンセリングも随時実施しておりますので、ぜひご利用下さい。無料カウンセリングについては→こちら
この記事のお問い合わせ先:阿倍野区西田辺のいえさき歯科
HP:www.iesaki.net
電話0666244500