いえさき先生のコラム
白い歯になりたい
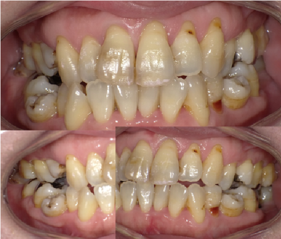
歯が汚くみえる原因ときれいにする方法
歯が汚く見える原因は、いろいろとありますが、大きく分けると以下の8つが挙げられます。
①ステインが付いている

最もよくある原因かもしれませんが、紅茶やコーヒーなどによる着色(ステイン)によって歯が汚く見えてしまうことがあります。ステインは歯磨きではなかなかきれいにできません。歯医者で歯科衛生士が歯の表面をクリーニングをすると、歯は白くきれいになります。回転するブラシに研磨剤を付けて丁寧に擦ることで痛くなく比較的簡単に綺麗になります。歯科医院に行けば、簡単にきれいにしてくれますので、ご相談されてはいかがでしょうか。
いえさき歯科の歯のクリーニング⇒こちら
②歯石が付いている
歯石がついている歯は、表面がざらざらでとても汚く見えます。歯だけでなく、歯茎も腫れて汚く見えます。また口臭の原因となり、不潔な状態です。歯医者で歯石をきれいに落とせば、白い歯の表面が露出してきれいな歯になります。歯石取りは、少し痛みも伴うことがありますが、丁寧に行えば、痛くなく歯石除去することも出来ます。

③歯の黄ばみ
もともと永久歯はイエローアイボリーと言われる黄色がかった色をしています。汚く見えているわけではありませんが、現代では歯はもともと白いものというイメージが浸透しており、ホワイトニングをした白い歯と比べると、汚く見えてしまうかもしれません。さらに歯をきれいにしてみたい方は、ホワイトニングがお勧めです。

いえさき歯科(ホワイトシャイン)のホワイトニング⇒こちら
④被せ物や詰め物が劣化して変色している
保険のプラスチックの被せ物や詰め物は2、3年ほど経つと黄色く変色してきてしまいます。そして土台に金属を使っている場合、根元や歯茎が黒くなり汚く見えることがあります。痛みや腫れもなく機能的には問題はないのもかかわらず、歯をきれいにするには変色や劣化する金属を必要としないオールセラミックで治療をお勧めします。

いえさき歯科のセラミック⇒こちら
⑤虫歯で汚く見える
前歯が虫歯になると、黒や茶色や黄色やグレーに染まって歯が汚く見えます。前歯は歯と歯の間の虫歯になりやすく、気づかずに進行し、急に穴が開いて初めて気づくことが多いです。小さい虫歯であれば歯と同じ色のプラスチックを詰めることで1日で治せるため、虫歯が広がる前に歯の変色に気づいて歯医者で治療をしてください。
いえさき歯科の虫歯治療⇒こちら
⑥神経が死んで汚く見える
歯の神経が死んでしまうと、歯が黒や紫や茶色なって歯が汚く見えます。神経が死んでしまった歯は、血流が止まり、死んだ神経がミイラ化して黒ずんできます。ウォーキングブリーチと言われる歯の裏側からホワイトニング剤を入れて白くする方法が簡単です。セラミックを被せてきれいにする方法もあります。
いえさき歯科の根管治療⇒こちら
⑦銀歯が多く口の中にあり汚く見える
口に中に銀歯があると汚く見えます。歯の色は本来の色は白に近いです。銀歯がたくさんあると口の中が黒っぽくなり、汚く見えます。前述しましたように、小さい銀歯ならプラスチックで、大きなものはセラミックで治療すると、白くできるので口の中全体がきれいに美しく見えます。
いえさき歯科の白い歯⇒こちら
いえさき歯科の保険の白い歯⇒こちら
⑧歯並びが悪いと汚く見える
歯並びが悪いとイメージとして歯が汚く見えます。昔は八重歯が可愛いとよく言われていました。しかし、欧米の先進国では歯並びが悪いことは、汚いイメージにつながりました。近年は、日本だけでなくアジアの国々でもその考えが浸透して歯並びに興味を持つ方がふえました。歯並びがきれいなだけで得することも多いと感じてる人も多いのではないでしょうか。

いえさき歯科矯正⇒こちら
この記事のお問合せ先:阿倍野区西田辺のいえさき歯科
電話:06-6624-4500
HP:www.iesaki.net